Monkeypox 首次在欧洲传播。这种导致 1% 到 4% 患者死亡的传染病来自非洲。现在,比利时也确认了首例感染。
“这涉及在安特卫普向我们报告投诉的人。样本被采集并送到荷兰的一个实验室,今天晚些时候,我们收到了最终确认它与猴痘病毒有关。有问题的人病得不是很严重,”研究员伊莎贝尔布罗修斯说,病人必须被隔离。
明天比利时专家将开会讨论联合行动计划。根据护理与健康机构的 Joris Moonens 的说法,现在还不必担心在普通人群中传播:“这种疾病只会通过密切接触传播,因此不会通过短暂的接触传播。”
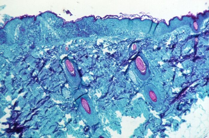
猴痘是由病毒引起的。它与天花属同一科,天花于 1980 年被正式根除。症状也与天花相似:发烧、头痛、肌肉酸痛、寒战和皮疹。皮肤上形成充满透明液体或脓液的水泡。在某些时候,这些水泡会破裂并形成硬皮。但猴痘的危险性远低于“古代”天花,后者杀死了 30% 的患者。在绝大多数情况下,猴痘会在几周内自行消失。
英格兰现在有九名猴痘患者。其他欧洲国家也有报道。葡萄牙已经报告了14例猴痘确诊病例,西班牙7例,瑞典1例。美国已经发现一例。
小编题外话:更多比利时(国内外)时政经济消息,请关注本台24小时实时更新的维他命资讯网https://vitaminbnews.com,再次感谢各位读者朋友对本号(2015年创办)近十年来的关心和支持!

更多好看的视频资讯请关注我们的视频号







